News
Teeth Whitening Blog
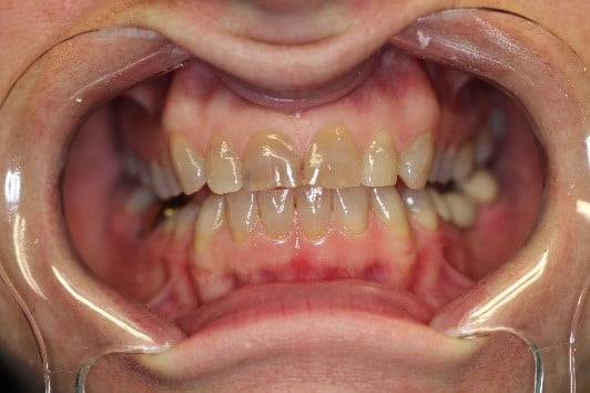
Do you look in the mirror and see stained yellow teeth? Are you craving pearly whites? Well fret no more! Teeth whitening is now one of the most popular cosmetic dentistry treatments on the market. However, with a mass of information and products out there it is vital that you research what works, and what may potentially be harmful.
Teeth whitening should only be carried out by a dentist or hygienist. While the cost may initially appear more expensive compared to other cheaper alternatives you may in fact be saving yourself from more long term expense. Why is this you may ask? Products used by dentists have been rigorously tried and tested and are therefore safe and reliable to use, whereas cheaper alternatives may damage the enamel of your teeth inevitably causing you to need more expensive restoration work.
Here at shades clinic we use one of the top whitening systems in the world- with 98% success rate.
This treatment involves applying two custom made whitening trays to your teeth every night for 2 weeks in the comfort of your own home. After this you will have a one-hour visit to the dentist where a finishing gel treatment will be applied.
This sought after treatment prevents damage to the surface of the teeth therefore reducing the amount of sensitivity you will experience leaving you with that that Brighter, Whiter smile in just 2 weeks!
Contact details
020 8752 0569
info@shades-clinic.com
rated 4.9/5 based on 347 reviews
Opening Hours
Monday 9:00am - 6:00pm
Tuesday 9:00am - 6:00pm
Wednesday 9:00am - 6:00pm
Thursday 9:00am - 6:00pm
Friday 9:00am - 6:00pm
Saturday 11:00am - 4:00pm
Sunday 11:00am - 4:00pm
Other Locations
Marlow Clinic:
12 Liston Court, Marlow, SL7 1ER
01628 486878 - info@marlowskinclinic.com
Oxford Clinic:
310 London Road, Headington, Oxford, OX3 8DJ
01865 766975 - info@oxfordskinclinic.co.uk
UKSKIN
382 Uxbridge Road, London, W5 3LH
020 8752 0569 - info@ukskinclinic.com


