News
3 Simple Ways To Improve Your Appearance
Definitely, not everyone is fortunate enough to be born with perfect looks. However, the good news is that with a little investment of time together with action every single day, it is possible to look much better than how you do now. We spoke with an expert in that area dr Sundeep Rooprai from the Shades Clinic in London.
Dr Sundeep graduated with Honours from the Barts and the London School of Medicine and Dentistry as one of the top students in his year. He excelled in his undergraduate education; achieving distinction in 4 out of 5 years, he also won 4 dental awards and was nominated for the prestigious University of London Gold Medal.

So here are his 3 simple ways to improve your appearance and to give your self-esteem a boost in the process.
Journalist: Sundeep, tell me something about yourself that makes you different than other dentists.
Sundeep: Nearly all my patients tell me how gentle I am when during their dental treatment. I pride myself on doing high quality treatment but in the most pain free way possible. Believe it or not I’ve had many patients fall asleep during treatment!. I take my time and make sure the patient is as comfortable at all times. Whether this is by giving them the opportunity to stop treatment if they feel any discomfort by raising there hand or by explaining things in a way patients can understand using photos and videos.
Journalist: What inspired you to become a dentist?
Sundeep: The ability to be able to transform a persons confidence by changing their smile. I experienced this first hand with my dentist and from then on it was something I wanted to do for others
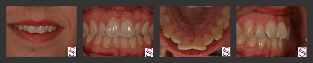
Journalist: Share some examples of your best work. How the patients reacted to the new look?
Sundeep: This lady had teeth straightening with the latest ceramic brackets to move the teeth into the right position followed by whitening and composite bonding to level all the edges of the teeth. She was delighted with her new smile and even more so that is was done in 6 months and without having an injection!


Journalist: Most people don’t like to see the dentist, what do you do to make them feel comfortable?
Sundeep: The dentist is nobody idea of having fun (apart from mine!). I use humour. I like to use my jolly nature to help make the patient feel at ease. When it comes to treatment I am gentle and understanding.
I treat all my patients as if I am treating family.
I want to do the best for them and my patients instantly see that and feel completely comfortable
Journalist: Why is a better smile so important to be successful in life and business?
Sundeep: A recent survey showed your smile is the Most important factor when making a first impression. It is contagious! When you smile the other person will be hard pushed not to smile back. This is so important socially and it business. You smile says a lot about you as a person. In my profession it is very common for those who are entering critical moments in life to focus on improving their smile.
For example; those looking for love, getting married, looking for a new job or starting up their own business.
With modern dentistry are so many pain free ways to improve your smile in a quick affordable manner
Journalist: What are your 3 best tips for people who want to improve their facial appearance?
Sundeep: Use my 3 tips and you will see the difference:
1. Take good daily care of your teeth and gums. Brush twice using an electric brush and floss regularly
2. See the hygienist twice a year. Get rid of the plaque in hard to reach areas and stubborn stains
3. Teeth whitening. If your teeth and gums are healthy I would definitely recommend teeth whitening to all adults. It’s simple, safe and effective way of improving your smile.
Journalist: Thank you so much for your tips. There is definitely not a single substitute for a true, bright white smile. It lightens up your appearance like absolutely nothing else and is likely to melt the heart of the onlooker.
If you would like to know more how to improve your appearance you can book an appointment with dr Sundeep here:https://www.shades-clinic.com/dental/contact-us/
BackContact details
020 8752 0569
info@shades-clinic.com
rated 4.9/5 based on 347 reviews
Opening Hours
Monday 9:00am - 6:00pm
Tuesday 9:00am - 6:00pm
Wednesday 9:00am - 6:00pm
Thursday 9:00am - 6:00pm
Friday 9:00am - 6:00pm
Saturday 11:00am - 4:00pm
Sunday 11:00am - 4:00pm
Other Locations
Marlow Clinic:
12 Liston Court, Marlow, SL7 1ER
01628 486878 - info@marlowskinclinic.com
Oxford Clinic:
310 London Road, Headington, Oxford, OX3 8DJ
01865 766975 - info@oxfordskinclinic.co.uk
UKSKIN
382 Uxbridge Road, London, W5 3LH
020 8752 0569 - info@ukskinclinic.com
